Skip to content Skip to sidebar Skip to footer

Reversible Cerebral Vasoconstriction Syndrome 2015

Reversible Cerebral Vasoconstriction Syndrome Part 2 Diagnostic Work Up Imaging Evaluation And Differential Diagnosis American Journal Of Neuroradiology

Reversible Cerebral Vasoconstriction Syndrome Part 2 Diagnostic Work Up Imaging Evaluation And Differential Diagnosis American Journal Of Neuroradiology

Reversible cerebral vasoconstriction syndrome 2015. Steve Roach in conjunction with the. Reversible cerebral vasoconstriction syndrome RCVS sometimes called Call-Fleming syndrome is a disease characterized by a weeks-long course of thunderclap headaches sometimes focal neurologic signs and occasionally seizures. Advertise with Us.

About this journal. 1 Ahead we present a case of a woman who was admitted for intractable headaches and eventually found to have radiographic stigmata of PRES. A case of suspected reversible cerebral vasoconstriction syndrome manifesting as episodes of severe sudden onset of throbbing headache and photophobia was reported in a 26-year-old man who was taking a monoamine oxidase inhibitor MAOI tranylcypromine 10 mgday for severe depression and also chewing khat recreationally.

In some cases it may be associated. Symptoms may include transient ischemic attacks mini-strokes and strokes. 2015 require the use of ICD-10-CM codes.

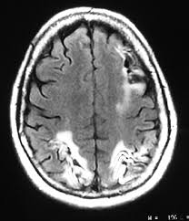
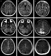
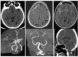
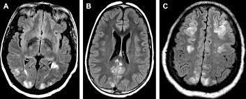
I6783 Posterior reversible encephalopathy syndrome. INTRODUCTION Reversible cerebral vasoconstriction syndrome RCVS represents a group of conditions that show reversible multifocal narrowing of the cerebral arteries with clinical manifestations that typically include thunderclap headache and sometimes include neurologic deficits related to brain edema stroke or seizure. Reversible Cerebral Vasoconstriction Syndrome RCVS is a rare cause of thunderclap headache TCH estimated cause 8-45 of TCH once aneurysmal subarachnoid hemorrhage SAH is ruled out.

Voltz R Rosen FV Yousry T et al. Reduced blood flow to. Reversible hypercalcemic cerebral vasoconstriction with seizures and blindness.

See also Migraine in ChildrenIt is not a disease but a syndrome that is characterized by paroxysmal headache associated with other signs and symptoms. Symptoms are thought to arise from transient abnormalities in the blood vessels of the brain.

Posterior reversible encephalopathy syndrome PRES also known as reversible posterior leukoencephalopathy syndrome RPLS is a rare condition in which parts of the brain are affected by swelling usually as a result of an underlying causeSomeone with PRES may experience headache changes in vision and seizures with some developing other. 2015 require the use of ICD-10-CM codes.

Reversible Cerebral Vasoconstriction Syndrome After Administering Etanercept During Puerperium Journal Of Stroke And Cerebrovascular Diseases

Reversible Cerebral Vasoconstriction Syndrome After Administering Etanercept During Puerperium Journal Of Stroke And Cerebrovascular Diseases

Reversible Cerebral Vasoconstriction Syndrome Part 1 Epidemiology Pathogenesis And Clinical Course American Journal Of Neuroradiology

Reversible Cerebral Vasoconstriction Syndrome Part 1 Epidemiology Pathogenesis And Clinical Course American Journal Of Neuroradiology

Reversible Cerebral Vasoconstriction Syndrome Part 1 Epidemiology Pathogenesis And Clinical Course American Journal Of Neuroradiology

Reversible Cerebral Vasoconstriction Syndrome Part 1 Epidemiology Pathogenesis And Clinical Course American Journal Of Neuroradiology

Reversible Cerebral Vasoconstriction Syndrome An Update Of Recent Research Springerlink

Reversible Cerebral Vasoconstriction Syndrome An Update Of Recent Research Springerlink

Hemorrhagic Reversible Cerebral Vasoconstriction Syndrome Stroke

Hemorrhagic Reversible Cerebral Vasoconstriction Syndrome Stroke

Reversible Cerebral Vasoconstriction Syndrome Part 2 Diagnostic Work Up Imaging Evaluation And Differential Diagnosis American Journal Of Neuroradiology

Reversible Cerebral Vasoconstriction Syndrome Part 2 Diagnostic Work Up Imaging Evaluation And Differential Diagnosis American Journal Of Neuroradiology

Fatal Reversible Cerebral Vasoconstriction Syndrome Journal Of The Neurological Sciences

Fatal Reversible Cerebral Vasoconstriction Syndrome Journal Of The Neurological Sciences

Severe Reversible Cerebral Vasoconstriction Syndrome With Large Posterior Cerebral Infarction Sciencedirect

Severe Reversible Cerebral Vasoconstriction Syndrome With Large Posterior Cerebral Infarction Sciencedirect

Reversible Cerebral Vasoconstriction Syndrome The Lancet Neurology

Reversible Cerebral Vasoconstriction Syndrome The Lancet Neurology

Glucocorticoid Associated Worsening In Reversible Cerebral Vasoconstriction Syndrome Neurology

Glucocorticoid Associated Worsening In Reversible Cerebral Vasoconstriction Syndrome Neurology

Reversible Cerebral Vasoconstriction Syndrome Practical Neurology

Reversible Cerebral Vasoconstriction Syndrome Practical Neurology

The Many Faces Of The Reversible Cerebral Vasoconstriction Syndrome Rcvs Medcrave Online

The Many Faces Of The Reversible Cerebral Vasoconstriction Syndrome Rcvs Medcrave Online

Reversible Cerebral Vasoconstriction Syndrome Causes Symptoms Diagnosis Treatment Prognosis

Reversible Cerebral Vasoconstriction Syndrome Causes Symptoms Diagnosis Treatment Prognosis

Reversible Cerebral Vasoconstriction Syndrome

Reversible Cerebral Vasoconstriction Syndrome

The Many Faces Of The Reversible Cerebral Vasoconstriction Syndrome Rcvs Medcrave Online

The Many Faces Of The Reversible Cerebral Vasoconstriction Syndrome Rcvs Medcrave Online

Multimodal Imaging Of Reversible Cerebral Vasoconstriction Syndrome A Series Of 6 Cases American Journal Of Neuroradiology

Multimodal Imaging Of Reversible Cerebral Vasoconstriction Syndrome A Series Of 6 Cases American Journal Of Neuroradiology

Reversible Cerebral Vasoconstriction Syndrome An Important And Common Cause Of Thunderclap And Recurrent Headaches Clinical Radiology

Reversible Cerebral Vasoconstriction Syndrome An Important And Common Cause Of Thunderclap And Recurrent Headaches Clinical Radiology

Reversible Cerebral Vasoconstriction Syndrome Practical Neurology

Reversible Cerebral Vasoconstriction Syndrome Practical Neurology

Reversible Cerebral Vasoconstriction Syndrome Part 1 Epidemiology Pathogenesis And Clinical Course American Journal Of Neuroradiology

Reversible Cerebral Vasoconstriction Syndrome Part 1 Epidemiology Pathogenesis And Clinical Course American Journal Of Neuroradiology

Reversible Cerebral Vasoconstriction Syndrome

Reversible Cerebral Vasoconstriction Syndrome

Reversible Cerebral Vasoconstriction Syndrome Chapter 74 Uncommon Causes Of Stroke

Reversible Cerebral Vasoconstriction Syndrome Chapter 74 Uncommon Causes Of Stroke

Reversible Cerebral Vasoconstriction Syndrome Uptodate

Reversible Cerebral Vasoconstriction Syndrome Uptodate

Pdf Reversible Cerebral Vasoconstriction Syndrome Part 1 Epidemiology Pathogenesis And Clinical Course

Pdf Reversible Cerebral Vasoconstriction Syndrome Part 1 Epidemiology Pathogenesis And Clinical Course

Https Encrypted Tbn0 Gstatic Com Images Q Tbn And9gcsqhbb5r Dqgc516a D2nbghvmsugbu3zf0rk 3gbblhmgiaw O Usqp Cau

Https Encrypted Tbn0 Gstatic Com Images Q Tbn And9gcsqhbb5r Dqgc516a D2nbghvmsugbu3zf0rk 3gbblhmgiaw O Usqp Cau

Hidden Moyamoya Disease Mimicking Reversible Cerebral Vasoconstriction Syndrome

Hidden Moyamoya Disease Mimicking Reversible Cerebral Vasoconstriction Syndrome

Patterns Of Blood Brain Barrier Bbb Breakdown In Patients With Download Scientific Diagram

Patterns Of Blood Brain Barrier Bbb Breakdown In Patients With Download Scientific Diagram

Reversible Cerebral Vasoconstriction Syndrome Practical Neurology

Reversible Cerebral Vasoconstriction Syndrome Practical Neurology

The Many Faces Of The Reversible Cerebral Vasoconstriction Syndrome Rcvs Medcrave Online

The Many Faces Of The Reversible Cerebral Vasoconstriction Syndrome Rcvs Medcrave Online

Reversible Cerebral Vasoconstriction Syndrome Radiology Reference Article Radiopaedia Org

Reversible Cerebral Vasoconstriction Syndrome Radiology Reference Article Radiopaedia Org

Posterior Reversible Encephalopathy Syndrome And Reversible Cerebral Vasoconstriction Syndrome Radiologic Clinics

Posterior Reversible Encephalopathy Syndrome And Reversible Cerebral Vasoconstriction Syndrome Radiologic Clinics

A Pediatric Case Of Reversible Cerebral Vasoconstriction Syndrome With Similar Radiographic Findings To Posterior Reversible Encephalopathy Syndrome Pediatric Neurology

A Pediatric Case Of Reversible Cerebral Vasoconstriction Syndrome With Similar Radiographic Findings To Posterior Reversible Encephalopathy Syndrome Pediatric Neurology

Reversible Cerebral Vasoconstriction Syndrome Radiology Reference Article Radiopaedia Org

Reversible Cerebral Vasoconstriction Syndrome Radiology Reference Article Radiopaedia Org

Recurrence Of Reversible Cerebral Vasoconstriction Syndrome Neurology

Recurrence Of Reversible Cerebral Vasoconstriction Syndrome Neurology

Hemorrhagic Manifestations Of Reversible Cerebral Vasoconstriction Syndrome Stroke

Hemorrhagic Manifestations Of Reversible Cerebral Vasoconstriction Syndrome Stroke

Figure 1 From Reversible Cerebral Vasoconstriction Syndrome Semantic Scholar

Figure 1 From Reversible Cerebral Vasoconstriction Syndrome Semantic Scholar

Reversible Cerebral Vasoconstriction Syndrome Practical Neurology

Reversible Cerebral Vasoconstriction Syndrome Practical Neurology

A Role For Endothelin 1 In Reversible Cerebral Vasoconstriction Syndrome Consult Qd

A Role For Endothelin 1 In Reversible Cerebral Vasoconstriction Syndrome Consult Qd

Reversible Cerebral Vasoconstriction Syndrome Rcvs With Associated Convexity Subarachnoid Hemorrhage Nimodipine Reversibility Radiology Case Radiopaedia Org

Reversible Cerebral Vasoconstriction Syndrome Rcvs With Associated Convexity Subarachnoid Hemorrhage Nimodipine Reversibility Radiology Case Radiopaedia Org

Reversible Cerebral Vasoconstriction Syndrome

Reversible Cerebral Vasoconstriction Syndrome

Reversible Cerebral Vasoconstriction Syndrome Uptodate

Reversible Cerebral Vasoconstriction Syndrome Uptodate

Figure 3 From Reversible Cerebral Vasoconstriction Syndrome An Under Recognized Clinical Emergency Semantic Scholar

Figure 3 From Reversible Cerebral Vasoconstriction Syndrome An Under Recognized Clinical Emergency Semantic Scholar

Recurrence Of Reversible Cerebral Vasoconstriction Syndrome Neurology

Recurrence Of Reversible Cerebral Vasoconstriction Syndrome Neurology

Frontiers Posterior Reversible Encephalopathy Syndrome And Reversible Cerebral Vasoconstriction Syndrome Clinical And Radiological Considerations Neurology

Frontiers Posterior Reversible Encephalopathy Syndrome And Reversible Cerebral Vasoconstriction Syndrome Clinical And Radiological Considerations Neurology

Reversible Cerebral Vasoconstriction Syndrome Associated With Hyperosmolar Hyperglycaemic State A Case Report And Literature Review Journal Of Clinical Neuroscience

Reversible Cerebral Vasoconstriction Syndrome Associated With Hyperosmolar Hyperglycaemic State A Case Report And Literature Review Journal Of Clinical Neuroscience

Pdf The Typical Thunderclap Headache Of Reversible Cerebral Vasoconstriction Syndrome And Its Various Triggers

Pdf The Typical Thunderclap Headache Of Reversible Cerebral Vasoconstriction Syndrome And Its Various Triggers

Reactivation Of Varicella Zoster Virus In Reversible Cerebral Vasoconstriction Syndrome A Proof Of Concept Study Future Virology

Reactivation Of Varicella Zoster Virus In Reversible Cerebral Vasoconstriction Syndrome A Proof Of Concept Study Future Virology

Reversible Cerebral Vasoconstriction Syndrome In A Patient With Systemic Lupus Erythematosus Ashraf V V Bhasi R Ramakrishnan K G Praveenkumar R Girija A S Neurol India

Reversible Cerebral Vasoconstriction Syndrome In A Patient With Systemic Lupus Erythematosus Ashraf V V Bhasi R Ramakrishnan K G Praveenkumar R Girija A S Neurol India

Reversible Cerebral Vasoconstriction Syndrome An Update Of Recent Research Springerlink

Reversible Cerebral Vasoconstriction Syndrome An Update Of Recent Research Springerlink

1

1

Posterior reversible encephalopathy syndrome PRES also known as reversible posterior leukoencephalopathy syndrome RPLS is a rare condition in which parts of the brain are affected by swelling usually as a result of an underlying causeSomeone with PRES may experience headache changes in vision and seizures with some developing other.

2015 require the use of ICD-10-CM codes. The clinical outcome is. 1 provide guidance to clinicians around the world Best Practices Global Neurology. Symptoms may include transient ischemic attacks mini-strokes and strokes. Posterior reversible encephalopathy syndrome PRES is a neurological disorder which is characterised by variable symptoms which include visual disturbances headache vomiting seizures and altered consciousness. 2015 require the use of ICD-10-CM codes. Symptoms are thought to arise from transient abnormalities in the blood vessels of the brain. Pediatric Neurology publishes timely peer-reviewed clinical and research articles covering all aspects of the developing nervous system. The journals editor E.


Posterior reversible encephalopathy syndrome PRES also known as reversible posterior leukoencephalopathy syndrome RPLS is a rare condition in which parts of the brain are affected by swelling usually as a result of an underlying causeSomeone with PRES may experience headache changes in vision and seizures with some developing other. Reversible encephalopathy with cerebral vasospasm in a Guillain-Barré syndrome patient treated with intravenous immunoglobulin. I6784 Cerebral vasospasm and vasoconstriction. I67841 Reversible cerebrovascular vasoconstriction syndrome. 1 The true incidence of RCVS is not known. Reversible Cerebral Vasoconstriction Syndrome RCVS is a rare cause of thunderclap headache TCH estimated cause 8-45 of TCH once aneurysmal subarachnoid hemorrhage SAH is ruled out. I6784 Cerebral vasospasm and vasoconstriction.

Post a Comment for "Reversible Cerebral Vasoconstriction Syndrome 2015"